300人のおくち 第2集
作品紹介
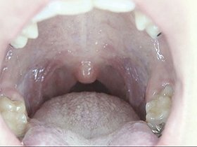
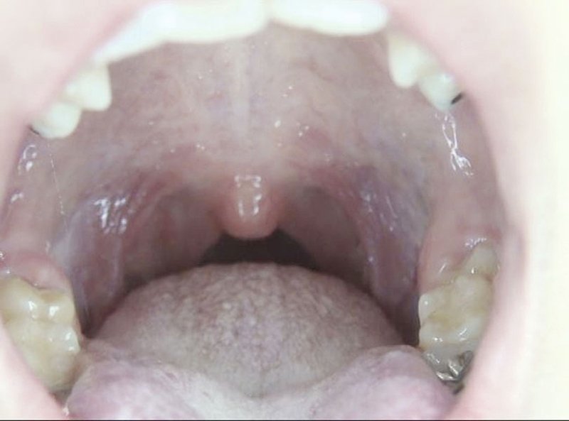
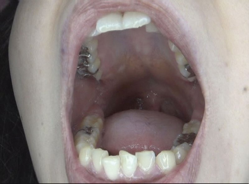
素人女性300人の口内接写を一挙に収録した「おくちの中」カタログ決定版―。普段、他人に見せることのなんて無い口の中…虫歯や銀歯、のどちんこまで丸見え!千差万別、十人十色の「口内」三百人分をご堪能ください―。
作品情報
Information
- メーカー
- ジャンル
-
- 発売日
- 出演者
-
---
- 収録時間
-
240分
- 品番
-
gat015
オススメ作品
Recommend












